Dişler, yalnızca sağlığın değil aynı zamanda bireylerin özgüveninin de bir parçasıdır. Ancak gün içinde tüketilen yiyecekler, içecekler ve yaşam alışkanlıkları diş lekesi oluşumuna neden olabilir. Bu lekeler yalnızca estetik kaygılara yol açmaz; aynı zamanda diş sağlığının da olumsuz etkilendiğinin işareti olabilir. Günlük alışkanlıklarda yapılacak küçük değişiklikler, hem beyaz bir gülüşe sahip olmayı sağlayabilir hem de diş sağlığını koruyabilir. Diş lekesinin nedenleri, türleri ve nasıl önlenebileceğini öğrenmekte fayda vardır.
Diş Lekesi Türleri ve Nedenleri

Diş lekesi, estetik kaygıların yanı sıra ağız sağlığıyla ilgili de önemli ipuçları verir. Farklı türlerde ve nedenlerle ortaya çıkabilen bu durumu iyi anlamak gerekir. Diş lekesi neden olur ve türleri nelerdir sorusuna şu şekilde yanıt verilebilir:
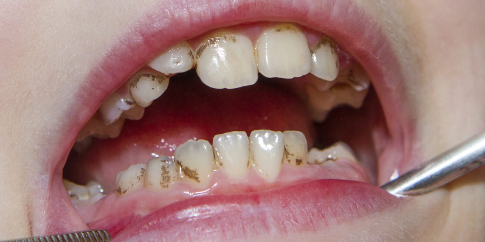
- Yüzeysel (Ekstrinsik) Diş Lekeleri: Diş minesinin dış yüzeyinde oluşur ve genellikle çevresel faktörlere bağlıdır. Kahve, çay, kırmızı şarap ve asitli içecekler, tütün kullanımı, kötü ağız hijyeni gibi nedenlerle ortaya çıkabilir.
- Derin (İntrinsik) Diş Lekeleri: Diş minesinin altında, dentin tabakasında oluşur ve genellikle daha zordur. Travmalar, ilaç kullanımı, aşırı florür kullanımı ve yaşlanmaya bağlı olarak oluşabilir.
- Yaşlanmaya Bağlı Diş Lekeleri: Zamanla doğal olarak meydana gelen bu lekeler, hem yüzeysel hem de derin özellikler gösterebilir. Diş minesinin incelmesi ve dentin tabakasının daha belirgin hale gelmesi ve zamanla biriken pigmentlerin daha derinlere işlemesi nedenleriyle ortaya çıkabilir.
Diş lekesi nasıl çıkar diye merak edenler, öncelikle bu lekelerin nedenlerini ve türlerini öğrenmelidir. Bu bilgiler sayesinde doğru tedavi planını oluşturmak mümkündür. Erken müdahale sayesinde hem ağız sağlığı hem de estetik korunabilir.
Diş Lekesi Nasıl Geçer?

Diş lekelerinden kurtulmak hem estetik hem de ağız sağlığını koruma açısından önemlidir. Diş lekesi temizleme için uygulanabilecek yöntemler, lekelerin türüne ve ciddiyetine bağlıdır. Diş lekelerini geçirme yolları şunlardır:
- Düzenli diş fırçalama, diş ipi kullanımı ve ağız gargaraları ile günlük ağız bakımı yapılmalıdır.
- Diş hekimleri tarafından yapılan profesyonel diş taşı temizliği ve diş parlatma işlemleri, diş lekelerini geçirebilir.
- Daha derin ve kalıcı lekeler için evde beyazlatma veya klinik beyazlatma yöntemlerine başvurulabilir.
- Daha ciddi, kalıcı veya tedaviye yanıt vermeyen lekeler için diş kaplamaları ve bonding gibi estetik diş tedavileri uygulanabilir.
Diş lekelerini gidermek ve tekrar oluşmasını önlemek için günlük ağız bakımına dikkat etmek ve düzenli diş hekimi ziyaretleri yapmak çok önemlidir. İleri derecede lekeler varsa profesyonel bir değerlendirme ile en uygun tedavi yöntemi seçilmelidir.
Diş Lekesini Önlemek İçin Yapılabilecekler

Diş lekesi oluşmadan önce alınacak önlemler, dişlerin daha sağlıklı ve beyaz kalmasını sağlayabilir. Bu önlemler:
- Leke oluşumuna neden olabilecek kahve, çay, şarap, asitli ve şekerli yiyecek ve içeceklerden uzak durulmalıdır.
- Bol su içmek, ağzı temizler ve leke oluşumuna neden olan yemek artıkları ile asitleri uzaklaştırabilir.
- Diş minesini güçlendiren kalsiyum ve fosfor kaynakları tüketilmelidir.
- Sigara, türün ürünleri ve alkolden uzak durulmalıdır; bu maddeler diş minesinde pigment birikimine ve kahverengi diş lekesi oluşumuna neden olabilir.
- Doğru ağız ve diş bakım rutinini oluşturmak önemlidir.
- Renk veren gıdalar tüketildikten sonra dişler hemen fırçalanamasa bile su ile çalkalanarak dişlerde pigment birikiminin önüne geçilebilir.
- Doğru diş fırçası ve diş macunu seçimi yapılmalıdır.
- Ağız kuruluğunu önlemek için bol su içilmeli ve şekersiz sakız çiğnenmelidir.
Bu alışkanlıkları yaşam tarzına entegre etmek, diş lekesi oluşumunu minimuma indirebilir ve sağlıklı, beyaz dişlere sahip olmayı sağlayabilir. Düzenli bakım ve doğru önlemlerle uzun vadede ağız sağlığı korunabilir.
Diş Lekesi İçin Profesyonel Temizlik
Diş lekesi temizleyici profesyonel uygulamalar, farklı yöntemlerle gerçekleştirilebilir. Hastanın dişlerinin durumuna ve isteklerine uygun olarak diş hekimi bu yöntemler arasından seçim yapar ve uygular. Profesyonel diş temizliğinde sıkça kullanılan yöntemler:
Ultrasonik Temizleme
Diş taşlarını ve plakları temizlemek için yüksek frekanslı titreşimler kullanılır. Aynı anda püskürtülen su, temizlenen parçacıkları uzaklaştırabilir. Hızlı ve etkili bir yöntem olarak öne çıkan ultrasonik temizleme, hassas bölgelere ulaşabilir ve diş minesine zarar vermeden derin temizlik sağlayabilir.
Küretaj (El Aletleriyle Temizlik)
Bazı durumlarda ultrasonik cihazın ulaşamadığı alanlar veya ince temizlik gereken yerler için manuel aletler kullanılır. Diş hekimi, özel kazıyıcı aletlerle diş yüzeyindeki plak ve tartarları dikkatli bir şekilde temizler. Özellikle diş eti çizgisi altındaki birikimler bu yöntemle çıkarılır. Diş eti hastalığı olanlar için uygundur ve detaylı, hassas temizlik sağlayabilir.
Polishing (Parlatma)

Parlatma işlemi, diş yüzeyindeki hafif lekeleri giderebilir ve dişleri pürüzsüz hale getirebilir. Dişlere özel bir parlatma pastası uygulanır ve döner bir cihazla, diş yüzeyi cilalanır. Bu yöntem sayesinde diş yüzeyi daha parlak ve temiz bir görünüme kavuşabilir. Pürüzsüz yüzeyde plak ve tartar birikimi zorlaşır.
Air Flow (Hava Püskürtme)
Su, hava ve ince bir toz karışımı kullanılarak diş yüzeyindeki lekeler temizlenir. Lekelerin bulunduğu bölgeye ince bir toz karışımı püskürten cihaz, yüzeydeki lekeleri ve plakları diş minesine zarar vermeden temizleyebilir. Kahve, çay ve sigara kaynaklı zorlu lekelerde etkilidir. Hassas dişlere uygundur ve rahatsızlık hissi minimumdur.
Florür Uygulaması

Temizlik işleminden sonra dişleri korumak ve hassasiyeti azaltmak için florür uygulanabilir. Dişlere özel bir jel, köpük veya vernik olarak florür sürülür. Bu işlem diş minesini güçlendirerek çürük riskini azaltabilir. Temizlik sonrasında dişlerde oluşabilecek hassasiyeti önleyebilir ve dişleri dış etkenlere karşı koruyabilir.
Profesyonel diş temizliği sırasında kullanılan bu yöntemler, diş lekelerini giderirken diş minesine zarar vermeden etkili sonuçlar elde etmeyi sağlayabilir. Diş hekimi, dişlerin durumuna ve ihtiyaca uygun olarak en iyi yöntemi belirleyerek ağız sağlığını korumaya yardımcı olur.








