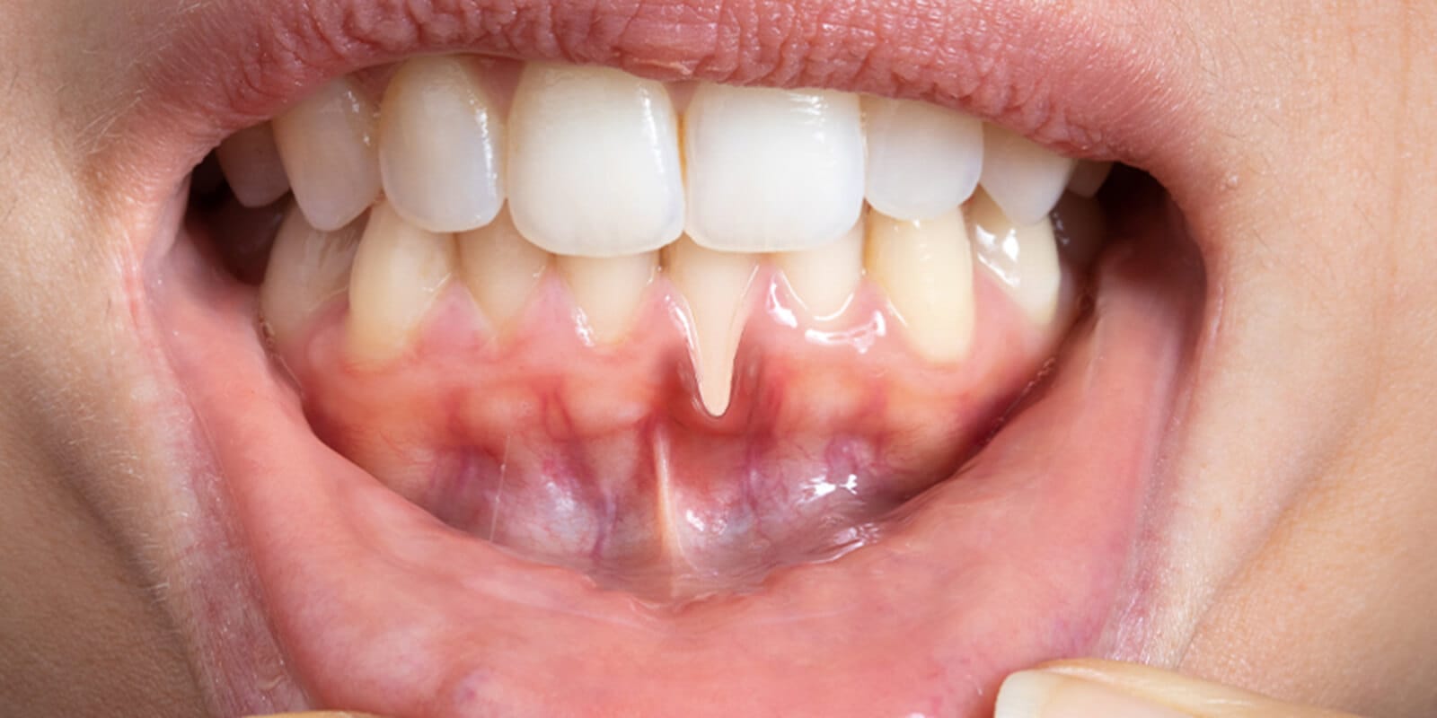
Diş eti morarması, ağız ve diş sağlığı açısından dikkat çeken bir durumdur ve pek çok farklı nedene bağlı olarak ortaya çıkabilir. Genellikle diş etlerinde mavi, mor veya koyu renk lekeler şeklinde ortaya çıkan bu durum, bazen ciddi sağlık sorunlarının habercisi olabilir. Ancak bazen de basit bir nedenden dolayı bu morarmalar meydana gelebilir. Diş eti morarmasının nedenini anlamak, önleme yollarını öğrenmek ve tedaviyi değerlendirmek açısından büyük önem taşır.
Diş Eti Morarması Nedenleri
Diş etlerinde morarma meydana gelmesinin nedeni pek çok faktör olabilir. Bu faktörleri bilmek, diş eti morarmasından korunmak açısından önemlidir. Diş eti morarması nedenleri arasında en yaygın görülenler şunlardır:
- Diş etlerine alınan darbeler veya diş fırçalarken yapılan aşırı baskı, diş etlerinde morarmaya neden olabilir.
- Kan dolaşımı bozuklukları veya damar yapısındaki sorunlar, diş etlerinin koyu renge dönüşmesine yol açabilir.
- Bazı kişilerde melanin pigmentinin fazla birikmesi, diş etlerinin doğal olarak daha koyu görünmesine neden olabilir.
- Özellikle kan sulandırıcılar gibi bazı ilaçların yan etkileri, diş etlerinde renk değişikliklerine yol açabilir.
- Diş eti iltihabı veya periodontitis gibi kronik hastalıklar, diş eti dokusuna zarar vererek morarmaya neden olabilir.
- Sigara içmek, diş etlerinde oksijen dolaşımını azaltarak renk değişimlerine ve morarmaya yol açabilir.
- Diş eti temizliğinin ihmal edilmesi, plak birikimine ve dolayısıyla diş eti renginde değişikliklere neden olabilir.

Diş Eti Morarmasına Ne İyi Gelir?
Diş eti morarması nasıl geçer sorusuna pek çok çözüm, yanıt olarak verilebilir. Bu soruna iyi gelen çözümler arasında şunlar sayılabilir:
- Günde en az iki defa doğru teknikle diş fırçalamak ve diş ipi kullanmak, diş eti sağlığını destekleyerek morarmaların önüne geçebilir.
- Sigara tüketme alışkanlığını bırakmak, diş eti renginin düzelmesine yardımcı olur.
- C vitamini ve antioksidan açısından zengin meyve ve sebzeler tüketmek, diş eti dokusunu güçlendirerek iyileşmesini sağlayabilir.
- Nazik bir şekilde diş etlerine masaj yapmak, kan dolaşımını artırarak morarmaların azalmasına destek olur.
- Tuzlu suyla gargara yapmak, diş eti iltihabını ve morarmaları azaltabilir. Ancak bu yöntem, hekim önerisiyle uygulanmalıdır.
- Diş eti morarması ciddi bir sağlık sorununa bağlı olarak gelişebilir; mutlaka diş hekimine başvurulmalı ve profesyonel tedavi uygulanmalıdır.
Diş eti morarmasının altında yatan nedene bağlı olarak tedavi şekli değişiklik gösterebilir. Ancak yukarıdaki alışkanlıkları edinmek, mevcut diş eti morarmalarını azaltmak açısından oldukça önemlidir.
Diş Eti Morarması Nasıl Tedavi Edilir?

Diş eti morarmaları pek çok nedenden kaynaklanabildiği için tedavi yöntemi de değişiklik gösterir. Diş eti morarması tedavi sürecinde şu yöntemlere başvurulabilir:
- Morarmanın kaynağı bir hastalık veya ilaç kullanımıysa, öncelikle bunun tedavi edilmesi gerekir. Periodontal hastalıklar, enfeksiyonlar veya dolaşım problemleri için gerekli tedavi planlanmalıdır.
- Diş taşı ve plak birikiminden dolayı diş etleri morardıysa, profesyonel temizlik ile bu birikimler giderilebilir ve morarma da azalabilir.
- Diş etlerindeki koyu lekeleri gidermek için lazer tedavisine başvurulabilir. Bu işlem, diş etindeki pigmentasyonu azaltarak daha doğal bir görünüm elde etmeyi sağlayabilir.
- Gerekli görülürse, diş etinin üst katmanları alınarak sağlıklı doku ortaya çıkarılabilir; bunun için cerrahi prosedüre başvurulur.
- Bazı durumlarda morarma geçici olabilir. Özellikle travma sonrası morluklar, kendiliğinden iyileşebilir. Bu süreçte hekim kontrolünde olmak önemlidir.
Diş eti morarması fark edildiğinde, hemen bir diş hekimine başvurmak en doğru adımdır. Diş hekimi, en uygun tedavi yöntemini belirleyerek kalıcı çözümler sunabilir.
Diş Eti Morarmasına Karşı Alınabilecek Önlemler

Diş eti morarması ve ağrı, kişinin gündelik yaşamını olumsuz etkileyebilir. Hem işlevsel hem de estetik açıdan bireyleri rahatsız eden bu duruma karşı bazı önlemler almakta fayda vardır. Özellikle diş eti morarmasına yatkın kişilerin daha dikkatli davranması gerekir. Diş eti morarmalarını önlemek için yapılabilecek en önemli şey, düzenli ve doğru ağız bakımını uygulamak ve aksatmamaktır. Bununla birlikte diş hekimi kontrollerine düzenli olarak gitmek de önemlidir.
Dengeli beslenme ve tütün ürünlerinden uzak durma, diş etlerinde morarma oluşmamasını sağlayabilir. Ayrıca dişleri fırçalarken aşırı baskı yapmamaya ve sert olmamaya da özen gösterilmelidir. Bazı ilaçların yan etkisi olarak da diş etlerinde morarma meydana gelebildiğinden ilaç kullanımı konusunda bilinçli olmak gerekir. Son olarak stres, bağışıklık sistemini zayıflatarak diş eti sağlığını olumsuz etkileyebilir ve hastalıklara zemin hazırlayabilir. Dolayısıyla stresten uzak durmak, diş eti sağlığı için önemlidir.
Bu basit ama etkili yöntemler, diş eti morarmasının önüne geçmeyi sağlayarak sağlıklı bir gülüş elde etmeye yardımcı olur. Ayrıca diş hekiminin kişiye özel sunduğu önerileri uygulamak da diş eti sağlığını destekler.








